Oct 22, 2025 12:00:00 AM
Automated protein purification with dual flow chromatography PhyTip® columns on the OT-2
By Biotage
Abstract
An automated protocol was developed to perform dual flow chromatography using PhyTip® columns on the Opentrons OT-2 liquid handler. Two types of PhyTip® columns were tested: Ni-IMAC for His-tagged protein extraction and Protein A series columns including Protein A, ProPlus, and ProPlus LX for purification of human IgG. The results show that the OT-2 in conjunction with PhyTip columns achieves excellent yield, concentration, and sample handling of small-scale protein samples in a 96- well plate setting.
Key findings
-
The OT-2 demonstrated competency for purifying His-tagged GAPDH protein while retaining activity using PhyTip® Ni-IMAC columns. Competency was also shown with Protein A, ProPlus, and ProPlus LX PhyTip® columns in purifying human IgG.
-
A multi-step purification protocol, such as an immunoprecipitation, can be completely automated on the OT-2 using Protein A, ProPlus, and ProPlus LX PhyTip® columns.
-
Protein analysis confirmed that the target protein was extracted with desirable consistency and specificity.
-
In a higher throughput setting, this protocol can handle up to 96 samples with minimal hands-on time.
Introduction
Recent advances in functional and analytical protein characterization assays have increased the demand for protein required for analysis. As a result, many different technologies are now available to scale the throughput of protein separation by affinity chromatography which has become a staple in early drug discovery. However, few purification platforms are optimized for small-scale purifications, leading to non-concentrated protein samples that are incompatible with many downstream analysis techniques and assays.
Also, any lack of programming and automation expertise can lead to more overhead than time savings when setting up these processes when the goal is to streamline workflows.
PhyTip columns are tip-based chromatography columns that separate target biomolecules from non-targets by the bi-directional flow of a mobile phase (e.g., the sample solution) across a stationary phase (i.e., the resin packed in the tip), a process called dual flow chromatography. Basic chromatographic principles control the separations, and the bi-directional flow drives interactions to high binding equilibrium regardless of kinetic rate constants. The purified sample can be eluted in small volumes, resulting in a highly concentrated sample. Dual flow chromatography is a gentle purification process, producing high levels of biologically active protein.
A series of PhyTip® columns utilizing Protein A, a 49 kDa bacteria surface protein with high affinity to the Fc region of most IgGs are available to purify or enrich antibodies. ProPlus (MabSelect™ SuRe™, Cytiva) and ProPlus LX (MabSelect SuRe, Cytiva) tips use an engineered version of Protein A with an increased binding capacity to its target IgGs.
Immobilized metal affinity chromatography (IMAC) is another common method to purify or enrich proteins of interest from crude samples. This approach utilizes metal ions to extract a recombinant protein with a genetically engineered tag, usually a peptide that can chelate metal ions. PhyTip with nickel ion (Ni)-IMAC affinity resin is an efficient tool to purify polyhistidine (His)-tagged proteins, through the strong affinity of Ni2+ and
His residue. The OT-2 provides an automation platform that is very approachable to the average biologist. PhyTip® columns are packed in pipette tips compatible with the OT-2’s single and 8-channel pipettes thus enabling full automation of the purification process on the OT-2. Here, the performance of PhyTip columns is evaluated on the OT-2, and the ability to adapt multiple applications to this platform is demonstrated.
See all PhyTip® columns available for use on the OT-2 here.
Materials and methods
Overview of protein purification workflow using PhyTip® columns on the Opentrons OT-2 platform
The first part of the process is the Reagent Plate Prep protocol for preparing the PhyTip® column rack and reagent plates, which includes the equilibration buffer plate, two plates for two different wash buffers, and an elution buffer plate. The second part of the process is the Protein Purification protocol for the target protein capture and enrichment by dual flow chromatography utilizing PhyTip columns. This is achieved by having the sample or buffer pass in and out of the column and across the resin inside the column (i.e., pipetting up and down). The settings that dictate successful protein purification are the number of cycles, flow rate, and buffer volume, which were adjusted according to the application (Table 1).
|
Ni-IMAC |
|||
|
Process |
Cycles |
Flow Rate (µL/min) |
Volume (µL) |
|
Equilibration |
4 |
240 |
200 |
|
Target capture |
8 |
240 |
200 |
|
First wash |
2 |
240 |
200 |
|
Second wash |
2 |
240 |
200 |
|
Elution |
4 |
240 |
60 |
Estimated runtime (min), 8 samples = 30.4 min
Estimated runtime (hr), 96 samples = 6.1 hr
|
Protein A Series |
|||
|
Process |
Cycles |
Flow Rate (µL/min) |
Volume (µL) |
|
Equilibration |
4 |
240 |
200 |
|
Target capture |
8 |
240 |
200 |
|
First wash |
2 |
480 |
200 |
|
Second wash |
2 |
480 |
200 |
|
Elution |
4 |
240 |
80 |
Estimated runtime (min), 8 samples = 27.9 min
Estimated runtime (hr), 96 samples = 5.6 hr
Schematic of OT-2 deck layout for reagent plate prep and protein purification protocols
Both protocols were performed on the OT-2 (Figure 1). The buffer kits were supplied by Biotage.
PhyTip® columns tested in this study were:
- Pro A 20 µL (PTX-93-20-01)
- ProPlus 20 µL (PTX-93-20-07)
- ProPlus LX 20 µL (PTX-93-20-26)
- Ni-IMAC 20 µL (PTX-93-20-03)
Figure 1. Schematic of OT-2 deck layout for the protocols.
Results
Separation of His-tagged GAPDH while retaining activity
His-tagged GAPDH mixed in PBS was extracted with desirable yield and consistency of sample handling as analyzed by SDS-PAGE and protein quantification (average yield = 79% and CV = 3%) (Figure 2a). Using PhyTip columns on the OT-2 platform did not disrupt enzymatic activity, measured by GAPDH activity assay (Figure 2b). In addition, the results also demonstrate that His-tagged GAPDH was successfully separated from the non-target BSA (Figure 2c) in the samples containing both proteins.
Figure 2a. His-tag GAPDH extraction by the PhyTip Ni-IMAC on the OT-2. The His-tagged GAPDH extraction by the PhyTip Ni-IMAC showed consistently high yields.
Figure 2b. The extracted GAPDH was bioactive confirmed by a GAPDH assay that measures enzymatic activity (Sigma-Aldrich, St. Louis, MO, USA).
Figure 2c. His-tagged GAPDH(10 µg) was successfully separated from non-target BSA (50 µg).
Separation of His-tagged GAPDH from bacterial lysate
A common approach to producing recombinant proteins is to transform Escherichia coli with a plasmid expressing the protein of interest, which then can be extracted from the bacterial culture in bulk. To perform this protein extraction step using PhyTip columns on the OT-2 platform, cell lysate from bacteria expressing His-tagged GAPDH was prepared and subjected to protein purification as described previously. GAPDH was successfully separated from much of the bacterial lysate complex. The resolution of the target from the background non-specific protein material was then increased by testing a gradient of imidazole concentration in the wash buffer (Figure 3a) as well as adding an additional step (Figure 3b).
Figure 3a. Purification of the target protein from bacterial cells. Protein purification of His-tagged GAPDH produced by bacterial cells was successful with various imidazole concentrations in wash buffer.

Figure 3b. Purification of the target protein from bacterial cells. Protein purification of His-tagged GAPDH produced by bacterial cells was successful with 2 or 3 wash steps.
Protein A IgG separation
To test Protein A-related PhyTip® columns, including Protein A, ProPlus, and ProPlus LX, the samples containing human IgG-type antibodies were processed on the OT-2. The results confirm the competency of PhyTip® columns at capturing and enriching human IgG with a high yield with or without the presence of non-target BSA in the samples, and the quality of sample handling on the OT-2 was consistent between samples as anticipated (Figure 4a and 4b).
Figure 4a. PhyTip® columns capture and enrich human IgG with high and consistent yields when performed on the OT-2. Human IgG was extracted by PhyTip Protein A, ProPlus, and ProPlus LX.
Figure 4b. PhyTip® columns retain high yields and consistency of capturing human IgG in the presence of BSA (non-specific protein) when performed on the OT-2. Human IgG was extracted by PhyTip Protein A, ProPlus, and ProPlus LX with BSA presence in the samples.
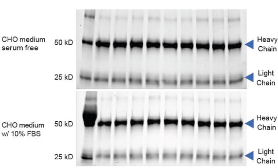
IgG purification in a CHO transient transfection system environment
Chinese hamster ovary (CHO) cells are the preferred expression system for recombinant antibody production. Purification of IgG from this expression system was simulated by dissolving IgG in CHO medium and was successfully extracted using PhyTip® columns (Figure 5 upper). Although many recent applications have adapted serum-free CHO medium cell growth in suspension, traditionally, animal serum is important for regulating and supporting mammalian cell growth.
However,serum presents a challenge in antibody purification as it increases the risk of albumin and other animal protein contamination. PhyTip® columns demonstrated no difference in purity when separating IgG in the presence of CHO medium with or without fetal bovine serum (Figure 5).
Figure 5. Human IgG extraction from Chinese hamster ovary (CHO) cell culture using PhyTip® columns. Human IgG prepared in CHO medium (upper) or in CHO medium with 10% FBS (lower) was extracted by PhyTip® Protein A, ProPlus, and ProPlus LX.
Protein A Immunoprecipitation
All three Protein A PhyTip columns were also tested by performing immunoprecipitation using an anti-GAPDH antibody. The results from Western Blot analysis showed that the endogenous GAPDH in mammalian cell lysate can be pulled down by the antibody, and captured by the resin packed in the column (Figure 6). It again confirms that throughout the purification process using PhyTip columns on the OT-2, the function of the protein, which is the binding activity of the antibody to its target, in this case, was not affected.
Figure 6. Immunoprecipitation of endogenous GAPDH using PhyTip columns on the OT-2.
Endogenous GAPDH was immunoprecipitated by GAPDH antibody using PhyTip® Protein A, ProPlus, and ProPlus LX.
Conclusion
Our study demonstrated that OT-2 can perform fully automated protein purification in conjunction with Biotage dual flow chromatography technology to process medium- to
high-throughput number of samples on a 96-well plate setting with reproducibility.
Authors: Boren Lin PhD1, Shadie Nimri2, Sean Arabian2, Kinnari Watson, PhD1,
1Opentrons Labworks, Inc., 2Biotage LLC
Literature Number: AN980
Published: Dec 5, 2025 9:59:59 PM